A scalp biopsy is something that you truly don’t need to worry about - it’s a safe medical procedure, and, as with all procedures done during the diagnosis stage, it can help to find the correct course of treatment for you.
However, we understand that a scalp biopsy can be a daunting prospect. Many people find the idea of going under the knife at all, even for such a small area as a biopsy, to be frustrating and a little scary.
There’s no shame in that - fear is a logical response to being underinformed about a process. In this article, we’re going to help you prevent that.
The best thing of this article? We might have a way for you to not have to go through a scalp biopsy!
First of all, we’ll fill you in on one of the best solution to combat hair loss and explain how they can help you out.
Then, we’re going to talk about what a scalp biopsy really is before talking about what’s involved in the process.
Finally, we’ll mention when your doctor might suggest a scalp biopsy to you, and how it, and other methods, can help to diagnose causes of hair loss.
Summary:
- A healthcare provider may suggest a scalp biopsy to get the exact cause of any hair loss that you may be experiencing.
- Scalp biopsies are almost always quick and painless, often requiring very little dressing or aftercare.
- During a biopsy, a small piece of tissue will be removed from your scalp before that sample is divided into smaller sections and put through different diagnostic tests.
- There are other diagnostic methods than scalp biopsies, but none will test as all-encompassingly and efficiently as a scalp biopsy.
Table of content
How to Combat Hair Loss Effectively?
If you're looking into a scalp biopsy, you might be experiencing hair thinning or hair loss.
You want it to stop, and it has been bothering you lately. You're feeling self-conscious about it and you now want a solution.
However, you also don't want to be subjected to surgery.
Luckily, we have a whole host of life-changing success stories.
They're from people with a similar concern, just like you.
After consistent usage of our products, some people have cancelled their hair transplant plans, some have claimed it was the best thing that ever happened to them and some are just purely more confident now that they got their hair back.
We want you to entrust that feeling in us, and be assured that we'll help you fight your hair loss and your self-doubt.
That's why we've made it a no-brainer to try our Hair Growth Routine:
- 150 days money back guarantee
- Safe, naturally-derived and vegan ingredients
- Clinically trialed for effectiveness
- Free shipping and free returns.
As your leading source for hair health information over the past 4 years, we never compromise on accuracy. When it comes to your health, you deserve information you can truly rely on - and earning your trust is our top priority.
Here's how Scandinavian Biolabs ensures every piece of content meets the highest standards of accuracy and integrity:
- Credentialed Experts: Our reviewers are actively practicing doctors and medical researchers
- Stringent Reviews: Content undergoes rigorous editing by subject specialists and review by a practicing doctor.
- Evidence-Based: We rely on well-established research from trusted scientific sources like peer-reviewed journals and health authorities.
- Full Transparency: Our editorial standards, writer credentials, reviewer credentials, correction process, and funding are all publicly documented.
- Independent Voice: While we do promote products, we operate in a vacuum to business operations. Our main goal is just an unwavering commitment to providing medically-sound guidance.
You can count on Scandinavian Biolabs to consistently deliver the trustworthy health information you deserve. Read our Editorial Standards.
What Is a Scalp Biopsy?
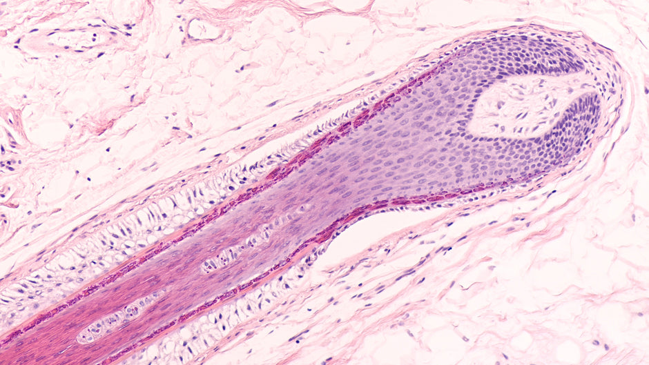
A scalp biopsy is the process of a fully qualified healthcare provider removing a small piece of skin from your scalp. It’s the same as a biopsy from any other part of your body - a piece of tissue is removed so that it can be tested, and things can be diagnosed or ruled out.
There are lots of techniques that might be used to carry out a skin biopsy on you. One example is a punch biopsy, which is poorly named since it sounds much worse. Really, what happens is that a small, circular tool is used to gently and quickly remove a small piece of skin.
Another option is to shave the top few layers of skin away from your scalp using a razor blade - this is called a shave biopsy for obvious reasons.
In some situations, a surgical scalpel may be used to extract and remove a small piece of skin with care. This is a rare practice, but we wanted to mention it because it’s important for you to be fully informed.
However it is done, a scalp biopsy can be carried out so that the small piece of tissue can be tested upon, and an accurate diagnosis can be generated. An example of one of these tests is that the healthcare provider could perform a follicular count, where they count the number of hair follicles in a given area. That test is often done to see if a patient is suffering from androgenetic alopecia.
A biopsy is also commonly used by a healthcare provider to detect any damage to hair from autoimmune conditions or scalp disorders.
What Happens During a Scalp Biopsy?
Before we get into the process of describing exactly what happens during a biopsy, we want to point something out: a biopsy is a rapid and straightforward process that generally doesn’t cause a significant level of pain or discomfort.
Typically, a biopsy is such a small procedure that it is done within the doctor’s office itself. The healthcare provider will start by cleaning the area of your skin that they’ll be interacting with, and then they’ll remove a small amount of skin with a special tool of some kind.
They’ll instruct you to stay perfectly still, which is essential to ensure that everything goes to plan.
The healthcare provider will usually take the biopsy in the direction of your hair growth, which is to say that the biopsy will likely be taken at a slight angle so as to capture a few whole cells.
The biopsy will be divided into horizontal or vertical sections for complete and thorough analysis in a lab.
To prevent any kind of pain or discomfort for you, the healthcare provider might use a local anesthetic. This would be done to numb the area before the procedure is carried out.
After the biopsy, your healthcare provider will dress the affected area. Depending upon what type of biopsy they’ve carried out, they may carry out a few different types of dressing, from sutures to a simple band-aid.
After dressing, you’ll likely be free to go. The healthcare provider will give you care instructions, which you must follow to ensure you avoid any kind of infection.
When Might You Need a Scalp Biopsy?
Generally speaking, a scalp biopsy is likely recommended if the patient suffers hair loss without any particular cause. The scalp biopsy could be used to look for signs of damage to follicles or skin and detect any major inflammation on the scalp that could be affecting hair growth.
On a more positive note, a scalp biopsy allows a healthcare practitioner to look at what might be possible in terms of treatment, from recovery to outright regrowth.
You may also need a scalp biopsy if there’s some form of unusual growth on your scalp, such as a mole or a lump. This would be carried out to check for a serious condition, such as cancer. Today, we’re going to be focussing on scalp biopsies with regards to how they relate to hair loss.
There are a number of different types of hair loss that could be diagnosed as a result of a scalp biopsy. Below, we’re going to run through a few of them.
The first type that can be diagnosed through biopsy is male pattern baldness, which is also known as androgenetic alopecia. This type of hair loss is permanent, typically caused by a combination of genetics and changing levels of hormones throughout a patient’s life. The particular hormone in question is called dihydrotestosterone, or DHT. A scalp biopsy can also be recommended for female pattern baldness.
Another type of hair loss that can be diagnosed through biopsy is cicatricial alopecia. This is the name that refers to a range of different forms of hair loss. These hair losses involve damage to the hair follicles themselves through scar tissue. Scarring hair loss typically starts small, around the scar itself, and may progress, sometimes affecting the whole scalp.
Finally, we want to mention telogen effluvium quickly. This is a form of temporary hair loss, and it is caused by the hair on your head entering into the telogen phase of the hair growth cycle. This is the ‘rest’ stage, so no hair actually grows during this period. It can be triggered by a range of things, from stress to fever, surgery, and nutritional deficiencies. This is another form of hair loss that can be detected through the use of a scalp biopsy.
What Are Some Alternatives to Scalp Biopsy?
Aside from a biopsy, there are other options for diagnoses. We must stress that a healthcare provider will always suggest the best option for treatment, so if they’ve recommended a biopsy, we’d recommend opting for one.
If a biopsy is not needed to diagnose the type of hair loss that you’re suffering from, however, you may have one of the following options, or another option, to ensure an accurate diagnosis.
First of all, a simple physical examination is most common. Hair loss can often be diagnosed with a physical examination of the affected area. For example, a receding hairline and thinning near the crown may combine to form a diagnosis of male pattern baldness.
A hair pull test may be carried out in some situations. This is a fairly simple test, where a small amount of pressure is applied to a small area of your hair. The number of hairs pulled out during the procedure will be counted, and that can be used to gauge how much hair you may be losing.
Conclusion
We assure you that a scalp biopsy is typically a normal and harmless part of a hair loss diagnosis. Using the information from that process, you’ll be able to find the best solution to hair loss for you.
Read more: